Our Best Dental Work - Before And After Pictures

Restoration

Old leaking fillings with tooth cracks and new cavities are replaced with new tooth-colored restorations.

1.jpg
2.jpg
 

These old metal fillings were leaking and new cavities were forming around them.
We took the metal fillings out, then used new tooth-colored restorations to fill the cavities.

Diastema

Use of veneers and whitening to close gap and smooth edges.

3.jpg
4.jpg
 

This patient wanted to close the wide gap between her front teeth.
We whitened her teeth and placed veneers that filled in the gap. This also smoothed the outlines of her teeth and produced a brilliant smile.

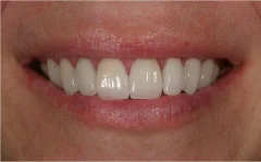
Discoloration

Use of new metal-free crowns and veneers that whiten and straighten the teeth.

5.jpg
6.jpg
 

These teeth were discolored and the patient decided it was time to do something about it. We recommended and placed metal-free crowns and veneers. Our efforts resulted in a beautifully whitened smile and straightened teeth.

Lengthening

Use of veneers to lengthen worn teeth and fill gaps creates a younger, whiter smile.

7.jpg
8.jpg
 

These teeth had been worn down over time. There was a triangular shape about them, due to the flat bottoms. Also notice the slight gap between the teeth, where they met the gums. Veneers were placed on the front teeth, improving their shape. This also filled the gap, giving this patient something more to smile about.